Air Jet Face Lifting Machine
AIRJET II invades to skin by high pneumatic jet technology without needle. The device injects drugs into the targetlayer momentarily through a dedicated nozzle and syringe kit and creates SUBCISION.
Benefits

Faster speed, shortening procedure time
AIRJETⅡ has improved the speed of drug injection per minute, reducing the procedure time required per patient.

Low noise design
Superior technology reduces noise and allows users and patients to use it comfortably.

Elevated Filling Level
AIRJETⅡ provides expanded Filling Level and users can use more viscous drugs for treatment.
Get A Price
Clinical Study
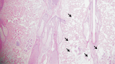
Histological features following injection using the high-pressure delivery system. Vacuoles that consist of the delivered fluid are indicated by arrows. A higher pressure (4.6 bar) results in numerous vacuoles and prominent widening of spaces between collagen fibers in the deep dermis
Specification meaning
| Function | Pneumatic Jet System |
|---|---|
| Model | Pneumatic Jet System |
| Syringe size | 10cc |
| Panel | 10.4inch, Digital touch screen |
| Dimensions (WxLxH) | 400x520x1400mm |
| Weight | 40Kg |